Tel.:

| WhatsApp:

| Correo electrónico:

Inicio / Servicio / Ortodoncia Invisible

Ortodoncia Invisible

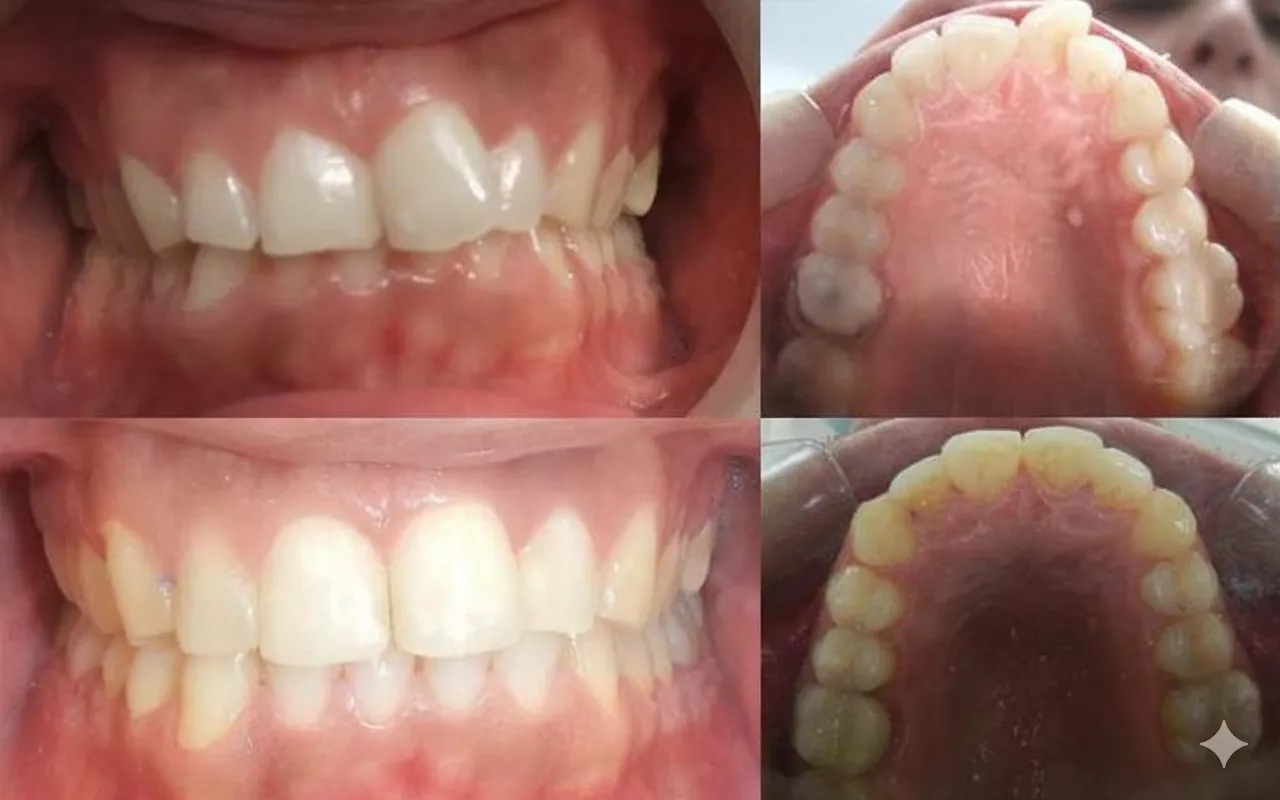
En The Dental Clinic Perú, creemos que una sonrisa alineada puede transformar tu confianza sin sacrificar estética ni comodidad. Nuestra ortodoncia invisible utiliza alineadores transparentes hechos a medida, para que puedas enderezar tus dientes con discreción, comodidad y resultados previsibles.

ortodoncia

¿Qué son los alineadores invisibles?

Los alineadores invisibles son dispositivos removibles, prácticamente imperceptibles, diseñados digitalmente para adaptar cada etapa del tratamiento a la forma de tu boca. Cada alineador aplica una presión suave que mueve los dientes gradualmente hacia la posición deseada.

¿Cuáles son sus beneficios?

  • Son casi invisibles cuando los usas, lo que lo hace ideal si buscas discreción.
  • Puedes quitarlos para comer, cepillarte los dientes o eventos especiales, lo que facilita la higiene bucal.
  • Los tratamientos suelen generar menos molestias en la boca (sin alambres o brackets metálicos que rocen).
  • Tecnología digital avanzada (escaneos 3D, planificación precisa) para predicción de resultados.
  • Comodidad operativa: menos visitas al doctor para ajustes en comparación con ortodoncia fija (aunque aún se requiere seguimiento).

¿Cuándo está indicado?

  • Para personas adultas o jóvenes que desean una corrección estética sin brackets visibles.
  • En casos de apiñamientos leves a moderados, dientes torcidos o espacios interdentales.
  • Cuando deseas mejorar la alineación dental pero mantener comodidad e higiene oral.
  • No siempre es adecuado para casos muy complejos de maloclusión o movimientos dentales muy grandes; cada caso lo evaluamos cuidadosamente.

Nuestro proceso paso a paso

  • Evaluación inicial detallada

Incluye historial clínico, escaneo o impresión digital, radiografías y análisis de la mordida.

  • Plan digital a medida

Diseñamos el plan de tratamiento, estimando los movimientos dentales, duración del tratamiento y número de alineadores requeridos.

  • Fabricación y entrega

Los alineadores se producen con materiales transparentes ligeros y cómodos, hechos a medida.

  • Uso y seguimiento

Debes usar los alineadores alrededor de 22-23 horas al día. Cambias de alineador según el plan, y tienes citas de control para verificar progreso y hacer ajustes si es necesario.

  • Retención al finalizar

Una vez alcanzada la alineación deseada, se usan retenedores para asegurar que los dientes se mantengan en su nueva posición.

¿Qué puedes esperar?

  • Resultados visibles desde las primeras semanas en muchos casos.
  • Mayor confianza al sonreír sin aparatos metálicos llamativos.
  • Mejora en higiene dental al poder cepillarte y usar hilo dental sin obstáculos.
  • Posibles ajustes dependiendo de tu disciplina, constancia y seguimiento.

Preguntas frecuentes

¿Cuánto tiempo dura el tratamiento con alineadores invisibles?
Depende de la complejidad del caso: puede variar entre 6 a 24 meses aproximadamente, según cuánto deban moverse los dientes y cuán severa sea la maloclusión.
+ ¿Me verán los alineadores? ¿Son muy notorios?
+ ¿Duelen los alineadores invisibles al cambiar cada pieza?
+ ¿Cuánto cuesta la ortodoncia invisible?
+ ¿Cómo debo usar los alineadores para que funcionen correctamente?

Reserva una cita

Lunes a viernes: 8:00 am a 5:00 pm
Sábado: 9:00 am a 2:00 pm

Citas

WhatsApp

Correo

Emergencia

Nuestro trabajo

Testimonios de Google

William Gomez

Excelentes profesionales que generan confianza y empatía. El diagnóstico es diligente, los tratamientos son personalizados y de calidad garantizada.

Diego Alva

Llegué a esta clínica luego de buscar alternativas de extracción de muela de juicio con sedación inhalada y fue la única que encontré que lo ofrecía. Luego de una buena primera experiencia decidí mover todo mi cuidado dental con ellos y llevo 1 año atendiéndome, estoy muy feliz con la calidad de la atención y me da confianza el equipo de especialistas que manejan.

Cecilia Barrantes

He sido paciente de mucho tiempo, al igual que mi esposo, en Dental Clinic & GT Concept, asociada con la Dra. Lilian Dermatini, desde hace 10 años. Estamos extremadamente contentos con su desempeño, habilidades médicas y conocimiento. Ella es muy proactiva, siempre está al tanto para asegurarse de que el cuidado dental sea óptimo. Casualmente estuve de visita en Lima la semana pasada y había programado una visita de rutina, sin embargo, cuando me examinó la Dra. Lilian, notó que estaba experimentando una infección aguda en uno de mis molar (n.° 37) para ser exactos. En cualquier caso, tuvo que tomar medidas inmediatas para evitar complicaciones graves que, en última instancia, podrían haber sido horribles debido a la infección y el dolor. Fue muy diligente y sin dudarlo decidió ayudarme el fin de semana pasado. Vivo en Pasadena, CA, y no creo conocer a ningún médico que deje de lado sus prioridades o actividades del fin de semana para atender mis necesidades. Tengo mucha suerte de tenerla como mi doctora. La recomiendo extremadamente y altamente a ella y a su personal para cubrir cualquier necesidad dental. Su respuesta y capacidad para atenderte son impecables. La clínica es impecable y está muy bien decorada. Muy agradable. Sus servicios tienen un precio razonable para lo que ofrecen. Nunca me arriesgo ni intento negociar cuando se trata de asistencia médica. Siempre hay que saber cuándo y dónde hay que regatear... Reitero mi agradecimiento a ella, a la oficina administrativa y a su personal. Cecilia y Antero, Pasadena, CA